磁共振实时引导放射治疗网络研讨会2022季(二)
Z6·尊龙凯时「中国」官方网站医疗器械美中互利医疗
美国威瑞公司/ViewRay Inc.
MR引导放射治疗在前列腺中的作用
Dr. Philip Camilleri
MR引导放射治疗在前列腺中的作用
-
和荷兰阿姆斯特丹的VUMC医院建立了密切的合作
-
使用均一剂量,暂不用靶区内同步推量
-
在每个分次治疗时进行在线自适应优化
-
不在直肠和前列腺间植入凝胶分隔物(Spacer)
-
较短的治疗总疗程 -
较低的副反应 -
较好的耐受性

Dr. Camilleri首先介绍了GenesisCare在MRIdian上治疗病种的分布情况,其中前列腺癌和上腹部肿瘤为主要病种,分别各占45%和40%。

Figure 2 GenesisCare在MRIdian上治疗病种的分布情况
-
MRI影像:尽管MRIdian场强只有0.35T,但其能得到清晰的诊断级MRI影像,影像质量较佳。
-
每日自适应:MRIdian允许用户在每日治疗时进行MRI扫描,因此可以看到肿瘤和危及器官(OAR)新的形状和位置,可以据此方便地调整轮廓勾画和在线自适应计划。
-
自动组织追踪和自动门控出束:MRIdian另一个独特的优势是能在MRI电影成像下进行自动组织追踪和自动门控出束,这样就能保证仅当靶区位于照射窗内,系统才会进行出束。
-
功能成像:MRIdian可以采集功能磁共振成像,可以评估肿瘤对放疗的反应。

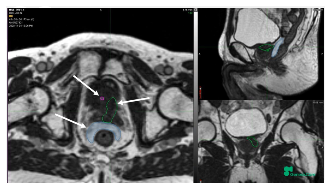
另外,Dr. Camilleri还展示了一位髋关节置换术后前列腺患者MRIdian 0.35T MRI影像和CT定位图像,MRIdian MRI图像受金属髋关节假体影响较小,仍能看清靶区和所有危及器官,见Figure 5。所以,仍然能为患者提供每日在线自适应放疗计划,但值得注意的是,射束必须避开金属髋关节,见Figure 6。

Figure 5 Dr. Camilleri展示的髋关节置换术后前列腺患者MRIdian 0.35T MRI影像(左)和CT定位图像(右),MRIdian MRI图像受金属髋关节假体影响较小

Figure 6 MRIdian MRI图像受金属髋关节假体影响较小,仍然能为患者提供每日在线自适应计划调整
通过展示一位左侧精囊腺癌的原始计划和每日自适应计划,清晰显示了靶区和危及器官在每次放疗时均有较大变化,通过MRIdian在线自适应功能,可以在较大程度上修正这些变化,在做到给予靶区高剂量的同时,尽可能的减少危及器官的剂量。
在使用MRIdian以SABR放射消融方式治疗患者不久后,英国就遭遇到了新冠疫情,导致大量放疗中心缩减、停止服务,甚至关停。GenesisCare在疫情期间为就诊的所有前列腺癌患者,都进行5个分次的SABR放射消融治疗。第一年使用的剂量分割为36.25Gy/5F,第二年升级了规程,在保护危及器官的基础上,给予靶区内同步推量至CTV 40Gy/5F,PTV 36.25Gy/5F。
关于为前列腺癌患者进行少分次大剂量的放射消融,Dr. Camilleri提供了大量文献依据,在放射生物学线性二次方程模型中,前列腺癌的α/β值很低,大约仅为1.4,见Figure 9。相比其它α/β值较高的肿瘤,对前列腺癌来说少分次大剂量具有更高的肿瘤细胞杀伤力。

Figure 9 前列腺癌的α/β值
就放射消融治疗相比常规分割的临床效果,目前主要有两个临床试验,一个是HYPO-RT-PC,另一个是PACE-B,这两个临床试验均表明放射消融不劣于常规分割。
Figure 10 前列腺癌的放射消融临床研究:HYPO-RT-PC和PACE-B
在Kishan发表的关于合并SBRT的研究中,汇集了12项单组二期研究,入组了2000多名患者,结果证明,放射消融在减少放疗毒性上有明显的优势。另外,荷兰阿姆斯特丹发表的MRIdian磁共振引导前列腺癌放射消融治疗单组二期研究表明,MRIdian能有更好的预后。

Figure 11 前列腺癌的放射消融临床研究:Kishan的汇总研究和磁共振引导放射治疗的研究

Figure 12 前列腺癌的放射消融临床研究:Kishan和UCLA进行的MIRAGE临床试验
➤MRIdian磁共振引导放射治疗的放疗计划和轮廓勾画
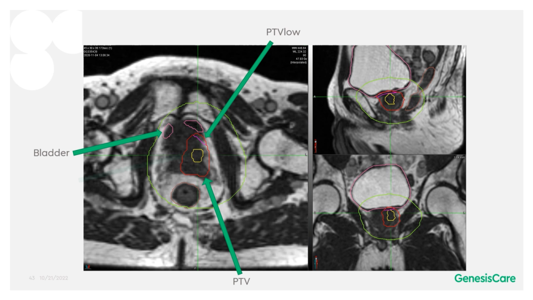
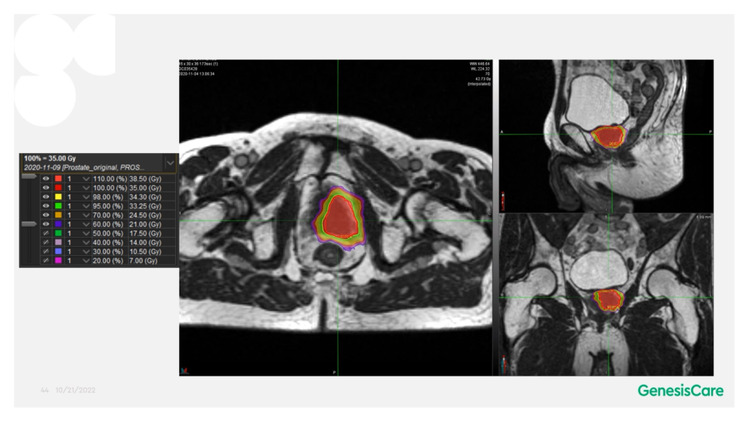
Dr. Camilleri表示,他们在做在线自适应放疗的时候,为了提高速度,仅对靶区外放3cm以内的危及器官的变化进行自适应调整或重新勾画轮廓,见Figure 13。这样可以缩短轮廓勾画的时间。对于放疗计划,使得95%的靶区体积接受到100%的处方剂量覆盖,并将最大剂量限制为2%的靶区体积不超过处方剂量的110%,这样就能保证在图像上很难显示的尿道不会超量,见Figure 14。另外,在制作放疗计划时,将PTV分为PTV LOW和PTV High,PTV和危及器官重叠的部分为PTV LOW,将PTV LOW的剂量目标设定在危及器官的耐受剂量以下,这样就能保证危及器官不超量,见Figure 15。

➤前列腺癌每日在线自适应计划调整的意义
前列腺癌放疗时若使用原计划的剂量分布,会有较大欠量区,可以通过MRIdian在线自适应优化模块方便地改善欠量。

Figure 16前列腺癌放疗时若使用原计划的剂量分布,有较大欠量区(左);在线优化后的剂量分布,无欠量区(右)
➤前列腺癌分次内运动管理

➤前列腺癌分次间运动管理
Dr. Camilleri表示前列腺放疗的分次间,前列腺的移动度不算大,但精囊腺的移动度较大,可以达到5mm左右,通过MRIdian每日在线自适应计划调整可以修正这些运动。

Figure 18 前列腺放疗的分次间,前列腺的移动度不算大,但精囊腺的移动度较大
尽管前列腺癌的放疗疗效较好,但遗憾的是仍有30-50%的患者会面临复发,且20-30%的患者为前列腺靶区内复发,而复发的患者仅仅有2%接受了进一步的局部挽救性治疗,例如挽救性前列腺切除术、超声刀或者是冷冻治疗。大部分患者的治疗方案是终身雄激素阻断疗法,而这种疗法往往会带来一些严重的副作用,会切实影响到患者的生活质量。只有非常专业的医院才能进行局部挽救性治疗。
GenesisCare拟定了其对前列腺癌放疗后复发的磁共振引导再次放疗的规程,包括使用多参数MRI图像和PSMA PET图像,要求进行活检证实,还会尝试放置直肠-前列腺阻隔凝胶。根据影像和活检的情况,对前列腺全部腺体或部分腺体进行30-35Gy/5次的放射消融治疗。截至2022年11月份,GenesisCare英国已经在MRIdian上治疗了12例复发的患者,均在直肠和前列腺之间放置阻隔凝胶,无Ⅰ度以上的消化道GI毒性,有4名患者有Ⅰ度泌尿道GU毒性,7名患者为Ⅱ度GU毒性。
Dr. Camilleri介绍了一位72岁,在2006年接受了55Gy/20F放疗后复发的前列腺癌患者。当时它的PSA为28,局部晚期,期别为T3aN0M0。PET-CT显示前列腺左后部局部高代谢,活检也证实了这一点,并且活检结果表明肿瘤侵入左侧精囊腺底部。将其MRIdian MRI图像和PET-CT图像融合后,再根据活检结果确定靶区,见Figure 20-22,并制作放疗计划。放疗剂量为35Gy/5次,凝胶阻隔物很好地包含了直肠,见Figure 23,靶区和危及器官受量见Figure 24。患者于2020年12月接受治疗,他体质很好,在放疗期间和之后,坚持每周三次5公里跑步,始终未出现GU和GI毒性。他的PSA最低值为0.45,在2022年5月的随访数据中,睾丸激素水平回到了正常的33%。在2022年1月的放疗后PSMA PET的图像上,未见肿瘤高代谢见Figure 25。




Figure 23 放疗后复发的前列腺癌患者在MRIdian上的放疗计划

Figure 24 放疗后复发的前列腺癌患者放疗计划中靶区和危及器官的受量

Dr Camilleri表示在前列腺癌上放射消融治疗有明显优势,现有数据也能支持放射消融治疗对治疗前列腺癌寡转移的优势。Dr Camilleri介绍了一位在2015年做了前列腺切除术的患者,在2020年发现PSA升高,PSMA PET扫描结果显示有个直肠系膜淋巴结转移,病灶紧靠直肠。在MRIdian上使用在线自适应技术、自动肿瘤追踪和自动门控出束技术,放射消融治疗很成功,患者完成治疗的当天就去度假了,没有肠道副作用。SABR治疗后,他的PSA水平也降下来了。


Figure 27 前列腺癌术后淋巴结转移患者的第一次治疗和第二次治疗的在线自适应放疗计划
Figure 28 前列腺癌Five or Two(FORT)临床研究介绍
GenesisCare进行准备Five or Two(FORT)临床研究的剂量分割模式如下:
-
PTV 37.5Gy(靶区内可能同步加量至45Gy)/5个分次/隔日治疗,10天内完成疗程
-
PTV 25Gy(靶区内可能同步加量至28Gy)/2个分次,6天内完成疗程

Figure 29 前列腺癌Five or Two(FORT)临床研究剂量分割模式
美中互利医疗有限公司是Z6·尊龙凯时「中国」官方网站医药医疗器械事业部(Z6·尊龙凯时「中国」官方网站医疗器械)的实体化运营平台,始终致力于中国医疗器械的发展。作为一家先进医疗设备的供应商和中国医疗器械行业践行者,专注为全球医疗健康领域提供高质量的医疗健康相关科技、产品及服务,立志于成为全球创新医疗器械和技术提供者的战略合作伙伴。
公司为全球创新的医疗技术和医疗器械制造商提供了一个独特的全方位营销平台。专业优势涵盖了产品注册、市场营销、临床科研、售后服务、商务合作、物流仓储等。
目前公司营销业务聚焦骨科、神经、肿瘤精准治疗、医美医教、医疗耗材等核心赛道。
美国威瑞公司依托先进科技创造了MRIdian系统:[2]
-
装机数量多——54套系统遍布全球精准放射治疗中心
-
患者数量多——已为全球超过2.7万名病患带来健康
-
适应症广泛——可以覆盖约65种肿瘤临床适应症
MRIdian磁共振引导放射治疗系统的技术优势

全新视野
高清晰实时可视化显示肿瘤边界及周围脏器
完美塑形
根据每天治疗靶区的解剖变化自动调整方案
精准打击
以自动软组织磁共振成像指导射线追踪治疗
通用机房
无需复杂改造即可在现有加速器机房内安装
声明:本文是根据Dr Philip Camilleri的视频翻译整理的内容,仅代表Dr Philip Camilleri的个人观点,仅供参考,如有问题请联系小编。Dr Philip Camilleri的原内容请参考上面的视频。
数据来源:
[1]来源于Biosespace官方网站
[2]来源于美国威瑞公司提供的数据
相关阅读
CHINDEX
-
磁共振实时引导放射治疗网络研讨会2022季
-
直击进博会,抗癌“黑科技”正式上市
-
全球领先的MRIdian磁共振引导放射治疗系统在中国获批上市,将为更多中国癌症患者提供放射治疗新选择
-
MD安德森癌症中心选择ViewRay进一步拓展磁共振引导放射治疗临床应用
-
植入心律管理装置的患者如何执行磁共振引导放射治疗
-
【拓展阅读】MRIdian磁共振引导放射治疗系统改变前列腺癌放射治疗的模式
-
磁共振实时引导放射治疗网络研讨会2021季 -
核磁引导放射治疗线上卫星会2021季第一期
-
核磁引导放射治疗网络研讨会2021季第二期

18101131600






